En raison de la pandémie de COVID-19, les dentistes et les orthodontistes ont dû prendre des mesures afin de limiter la propagation du virus dans leurs cliniques. Des protocoles ont donc été mis en place pour la sécurité de tous et de toutes. Cependant, le personnel des cliniques a aussi besoin de votre collaboration.
Nous vous demandons de vous renseigner sur les mesures à suivre lors de votre prochaine visite et de ne pas vous présenter si vous êtes atteint ou atteinte de la COVID-19, si vous avez des symptômes s’apparentant à la COVID-19 ou si vous avez été en contact avec une personne qui est ou pourrait être atteinte de la COVID-19.
Merci de votre compréhension et de votre coopération en ces temps difficiles.
L’équipe Bücco et ses membres dentistes et spécialistes
(A) Patient de 8.9 ans présentant des canines permanentes (* rouge) se présentant au dessus des racines des latérales (* bleus). L’extraction de dents temporaires dont les canines aiderait l’éruption des latérales et canines. (B) Un autre patient de 11.5 ans chez qui les canines temporaires ont été extraites. Les canines permanentes (* rouges) se redressent et descendent mais manque tout de même d’espace . Celle de droite se bute sur la latérale (* bleu) tandis que celle de gauche évite l’autre latérale. (C) Jeune femme de 20 ans pour qui il est trop tard pour intervenir avec une simple extraction de canine temporaire… qui aurait dû être extraite il y a au moins 10 ans!
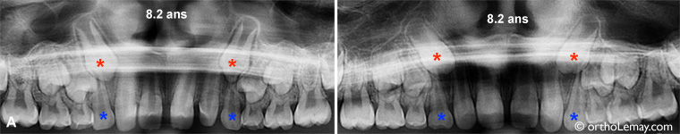
8.2 ans
Ces 2 patients de 8 ans présentent une position des canines permanentes (* rouges) qui peut être favorablement influencée par des extractions sélectives (canines temporaires * bleus).
16.5 ans
Chez cette fille de 16 ans, les canines permanentes (* rouges) sont presque complètement vers le centre (et au palais). Cette situation était visible il y a plus de 7-8 ans et l’extraction des canines temporaires aurait certainement aidé la situation, sans “garantir” une éruption normale.
15 ans
(A, B) Il est déjà trop tard pour ce patient de 15 ans chez qui les canines permanentes (* rouges) si dirigent vers le centre du côté du palais. Les canines temporaires auraient dû être extraites il y a plusieurs années pour donner une meilleure chance d’éruption normale aux canines.
Ericson & Kurol 1988-3
Ericson & Kurol 1988-2
Méthodes de prédiction de l’inclusion des canines développées par Ericson et Kurol en évaluant (A) la position de la canine par rapport à des zones définies sur une radiographie panoramique, et (B) la distance de la pointe de la canine par rapport à un plan (occlusal). (C) Taux de succès d’autoéruption de la canine si la canine temporaire est extraite selon sa position par rapport à une ligne bissectrice tracée sur la latérale.
Ericson & Kurol 1988
3 canines incluses chez un homme dans la cinquantaine
Exemples de dents incluses et ankylosées qui n’ont pas été extraites même si un traitement d’orthodontie a été entrepris. (A) 3 canines incluses chez un homme dans la cinquantaine. (B) prémolaire incluse chez une jeune adulte.
2 canines supérieures sont incluses
(A) Cette radiographie volumique révèle que les 2 canines supérieures sont incluses. Celle de droite (*rouge) est à l’extérieur de l’arcade dentaire tans dis que celle de gauche est du côté du palais. (B, D) Vues du palais, la radiographie montre bien les 2 positions différentes. (C) Il est difficile de déterminer la position exacte des canines incluses seulement par un examen visuel.
tecno à la rescousse 3
Images extraites d’une tomodensitométrie volumique à faisceau conique chez un jeune adolescent de 17 ans ayant ses 4 canines incluses. (A) Côté droit, (B) centre, (C) côté gauche. La vidéo ci-contre permet d’apprécier la complexité des malpositions de ces dents incluses. On peut voir que la canine supérieure droite cause une légère résorption de la racine de la latérale (voir flèche en mouvement).