En raison de la pandémie de COVID-19, les dentistes et les orthodontistes ont dû prendre des mesures afin de limiter la propagation du virus dans leurs cliniques. Des protocoles ont donc été mis en place pour la sécurité de tous et de toutes. Cependant, le personnel des cliniques a aussi besoin de votre collaboration.
Nous vous demandons de vous renseigner sur les mesures à suivre lors de votre prochaine visite et de ne pas vous présenter si vous êtes atteint ou atteinte de la COVID-19, si vous avez des symptômes s’apparentant à la COVID-19 ou si vous avez été en contact avec une personne qui est ou pourrait être atteinte de la COVID-19.
Merci de votre compréhension et de votre coopération en ces temps difficiles.
L’équipe Bücco et ses membres dentistes et spécialistes
(A) Quelques photos prises avant les traitements d’orthodontie et de chirurgie et (B) pendant le traitement.
Photographies avant et après le traitement
(A et B) Malocclusion et dentition avant le traitement; arcades étroites, chevauchement dentaire et manque d’espace sévères. (C et D) Après le traitement d’orthodontie et de chirurgie. Les arcades ont été élargies et toutes les dents sont logées dans les arcades dentaires (sans extractions).
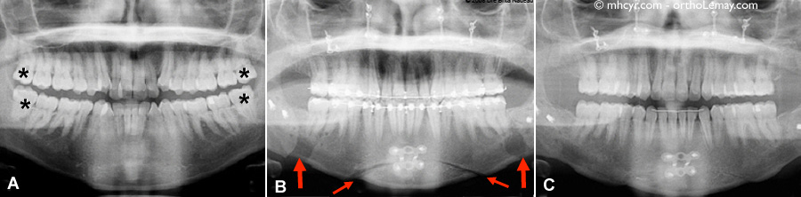
Les radiographies panoramiques pendant le traitement.
Les radiographies panoramiques pendant le traitement. (A) Avant le traitement, on remarque la présence des 4 dents de sagesse indiquées par des astérisques noirs (*). Les dents de sagesse inférieures doivent être enlevées plusieurs mois avant la chirurgie afin de minimiser les chances d’une “mauvaise fracture” lors de l’ostéotomie d’avancement mandibulaire. (B) Après la chirurgie (les dents de sagesse ont été extraites), on remarque les zones de coupe qui sont plus foncées (ostéotomies) dans la région arrière de la mandibule (grosses flèches) et dans le menton (petites flèches). On peut aussi voir plusieurs vis et plaques de fixation posées lors de la chirurgie pour fixer les segments osseux. (C) À la fin du traitement, les zones de coupes se sont minéralisées et ressemblent presque à de l’os normal. Ce processus prend plusieurs mois à se compléter. Les vis et plaques sont habituellement laissées en place si elles ne causent pas de problèmes.
Radiographies céphalométriques
Radiographies céphalométriques; (A) Avant le traitement, (B) après la préparation orthodontique et avant la chirurgie, (C et D) après la fin du traitement. On peut clairement voir les plaques et vis de fixation rigides sur chaque mâchoire et sur le menton.
Et la nature dans tout cela? 3
Deux autres exemples de compensations dento-alvéolaires naturelles. (A et B) Souvent dans les cas de classe 3, non seulement la compensation s’effectue au niveau des incisives mais il peut aussi y avoir une compensation dans l’inclinaison des dents postérieures car le maxillaire supérieur est souvent trop étroit.
Et la nature dans tout cela? 2
Voici un exemple de la façon dont la nature tente de compenser pour un déséquilibre entre les mâchoires pour une malocclusion de type classe 3 non traitée. (A) La mandibule étant légèrement forte et/ou le maxillaire déficient, les incisives supérieures sont inclinées vers l’avant tandis les incisives inférieures sont basculées vers l’intérieur. (B) incisives inférieures inclinées vers l’intérieur.
Et la nature dans tout cela? 1
(A) Malocclusion classe 2 (non traitée) avec décalage modéré entre les mâchoires. Il y a peu d’écart entre les incisives supérieures et inférieures car les incisives inférieures sont inclinées vers l’avant dans une tentative de compensation naturelle. (B) Radiographie montrant l’inclinaison des dents. (C) Incisives inférieures inclinées.
Classe 1 – Protrusion bimaxillaire
Classe 1 – Équilibre squelettique normal
Classe 3; Correction chirurgicale d’une prognathie mandibulaire et déficience maxillaire