En raison de la pandémie de COVID-19, les dentistes et les orthodontistes ont dû prendre des mesures afin de limiter la propagation du virus dans leurs cliniques. Des protocoles ont donc été mis en place pour la sécurité de tous et de toutes. Cependant, le personnel des cliniques a aussi besoin de votre collaboration.
Nous vous demandons de vous renseigner sur les mesures à suivre lors de votre prochaine visite et de ne pas vous présenter si vous êtes atteint ou atteinte de la COVID-19, si vous avez des symptômes s’apparentant à la COVID-19 ou si vous avez été en contact avec une personne qui est ou pourrait être atteinte de la COVID-19.
Merci de votre compréhension et de votre coopération en ces temps difficiles.
L’équipe Bücco et ses membres dentistes et spécialistes
Érosion de la surface linguale des dents chez un jeune homme de 24 ans qui consommait des boissons gazeuses en grande quantité pendant l’adolescence.
L’usure et le changement de couleur des dents : un phénomène normal
Une certaine usure et un changement de teinte des dents sont des phénomènes normaux se produisant au cours de plusieurs années. (ill. Dr C. Raygot)
Ces dents irrégulières ne sont pas usées!-3
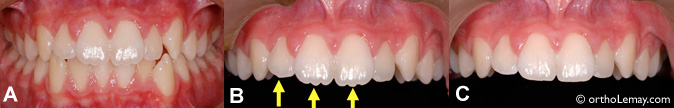
(A) Dentition avant un traitement d’orthodontie. (B) Présence d’irrégularités ou dentelle sur le bord incisif de 3 incisives supérieures. (C) Avant la pose des appareils orthodontiques cette dentelle fut enlevée par un léger polissage pour permettre de mieux placer les dents pendant le traitement. Cet ajustement est parfois fait pendant le traitement ou la fin.
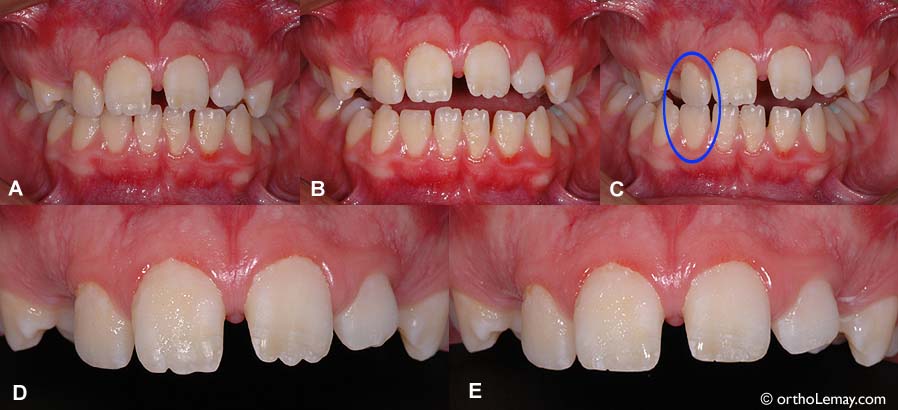
Ces dents irrégulières ne sont pas usées!
Ce jeune de 13 ans a encore de la “dentelle” sur ses incisives SAUF sur celles qui se “frottent” et s’usent en pendant la fonction. (A) Malocclusion (bouche fermée). (B) Bouche ouverte, la dentelle est plus évidente sur les centrales. (C) En fonction, lorsque la mandibule se déplace vers la droite, on comprend pourquoi les latérales de ce côté n’ont plus leur bord incisif irrégulier (dentelle); elles s’usent car ce sont elles qui guident la mandibule (cercle) plutôt que les canines qui doivent jouer ce rôle. (D) Une vue rapprochée met en évidence la différence entre les dents usées et non usées. (E) Afin d’uniformiser l’esthétique des dents et de planifier leur position finale lors des corrections orthodontiques, il est fréquent de “polir” le rebord des dents pour enlever cette dentelle (améloplastie).
Ces dents irrégulières ne sont pas usées!
Dentitions présentant des incisives avec de la “dentelle” sur le bout des dents. Ces dents ne s’usent pas car elles ne se touchent pas en fonction. Ces patients sont âgés entre 9 et 13 ans. Normalement, ces irrégularités disparaîtront à mesure que le bord des dents s’use et devient plus uniforme.
Le bruxisme et le grincement de dents contribuent à l’usure dentaire
(A, D, E) Garçon de 8.6 ans avec une habitude de bruxisme qui cause de l’usure prématurée des dents postérieures temporaires (cercles bleus). Cette usure est même visible sur une radiographie où les surfaces occlusales des dents sont “plates” ou linéaires (C – cercles jaunes) et (D, E – cercles bleus). En comparaison, les premières molaires permanentes (* rouges) qui sont sorties 2 ans plus tôt ne sont pas aussi usées. (B) Afin de protéger les dents contre l’usure causée par le bruxisme et le grincement de dent, un “plan guidé” est utilisé, empêchant les dents postérieures de se toucher (flèche).
Le bruxisme et le grincement de dents contribuent à l’usure dentaire
(A) Fille de 14 ans avec une importante béance; seulement les molaires sont en contact (cercle). (B et C) Les molaires étant les seules dents qui se touchent pendant la fonction, leur surface démontre déjà d’importants signes d’usure. Il est fort probable que ces dents ne s’usent davantage au cours des prochaines décennies.
Le bruxisme et le grincement de dents contribuent à l’usure dentaire
(A et B) Femme de 23 ans; seulement les dents postérieures se touchent lorsqu’elle ferme la bouche. (C et D) Elle grince des dents la nuit et présente déjà une usure anormale de ses molaires.
Le bruxisme et le grincement de dents contribuent à l’usure dentaire
(A à D) Ce jeune homme de 24 ans a une sévère béance antérieure. Seulement quelques dents postérieures se touchent pendant la fonction (B). Il y a des signes d’usure prononcée sur la surface des molaires (cercle). Si cette personne développe une habitude de bruxisme ou grincement de dents, les dommages aux dents s’accentueront rapidement.
Usure “mécanique” et abrasion
Cet homme de 46 ans avait une technique de brossage “agressive” qui a sévèrement usé les racines des dents. Les zones foncées sur les racines sont de la dentine. On y voit même la pulpe au centre des racines (encore plus foncée) tellement l’usure est prononcée. Cette destruction est progressive de sorte que la pulpe (contenant le nerf de la dent) se “momifie” progressivement et les dents ne deviennent pas sensibles.