En raison de la pandémie de COVID-19, les dentistes et les orthodontistes ont dû prendre des mesures afin de limiter la propagation du virus dans leurs cliniques. Des protocoles ont donc été mis en place pour la sécurité de tous et de toutes. Cependant, le personnel des cliniques a aussi besoin de votre collaboration.
Nous vous demandons de vous renseigner sur les mesures à suivre lors de votre prochaine visite et de ne pas vous présenter si vous êtes atteint ou atteinte de la COVID-19, si vous avez des symptômes s’apparentant à la COVID-19 ou si vous avez été en contact avec une personne qui est ou pourrait être atteinte de la COVID-19.
Merci de votre compréhension et de votre coopération en ces temps difficiles.
L’équipe Bücco et ses membres dentistes et spécialistes
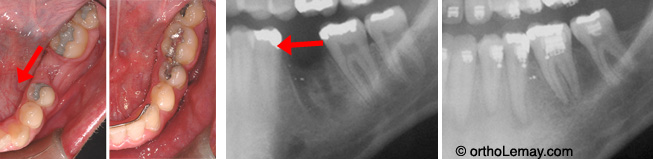
Fermeture d’un espace d’extraction de 11 mm ce qui évite de faire remplacer une molaire par un pont ou un implant.
Fermeture d’espaces (1)
Mini-vis d’ancrage inférieure et ressort utilisés pour fermer un espace. Ces vis sont conçues spécifiquement pour l’orthodontie et ont des formes spéciales pour y attacher des ressorts. Dans cet exemple, le but est d’avancer les dents postérieures sans reculer les dents antérieures. L’utilisation d’une mini-vis permet de ne pas “s’ancrer” sur les dents et de les laisser dans leur position actuelle si désiré.
Mini-vis d’ancrage temporaire (1)
Mini-implant d’ancrage supérieur (mini-vis orthodontique) utilisé de façon temporaire et réversible pour fermer un espace en reculant les dents antérieures sans exercer de force sur les dents postérieures.
Une combinaison gagnante-1
Bonne occlusion générale avec chevauchement inférieur minime
(A et D) Dentition présentant du chevauchement dentaire et plusieurs rotations significatives. (B) Immédiatement après la pose des appareils sur la surface linguale des dents. (C) Alignement après 5 mois de traitement. (E) Résultat final après 11 mois. (F) Sourire avant le traitement et (G) après le traitement.
Bonne occlusion générale avec chevauchement inférieur minime
(A) En général, cette jeune femme de 19 ans a une bonne occlusion. (B) Sa plainte principale concernait le chevauchement minime des incisives inférieures. (C) Arcade inférieure avant les corrections. (D) Début des corrections avec les broches linguales In-Ovation L. (E) Après 5 mois, l’alignement est complété. (F) Fil de rétention lingual qui stabilise les corrections.
Chevauchement dentaire, béance antérieure; traitement des 2 arcades
(A) Condition initiale; chevauchement dentaire minime aux 2 arcades. (B) L’alignement est obtenu 3-4 mois après le début des corrections. Les appareils sont pratiquement ‘invisibles” (C) Appareils correcteurs enlevés et appareils de rétention en place. La durée du traitement aurait été de 5 mois (au lieu de 9 mois) si nous n’avions pas tenté de diminuer la béance antérieure. (D) Sourire avant le traitement. (E) Sourire après les corrections.
boîtiers linguaux In-Ovation L.-2
Cas idéal pour des broches linguales (A) Chevauchement minime des dents antérieures inférieures. (B) Début des corrections avec les appareils In-Ovation L. (C) Après 5 mois, les corrections sont terminées. (D) Un appareil de rétention stabilise les corrections.
boîtiers linguaux In-Ovation L.-1
Qui pourrait deviner que ce patient porte des broches? Il a les nouveaux boîtiers linguaux In-Ovation L.
Les coureurs canadiens
Les coureurs canadiens Brendon Rodney (à gauche) et Andre De Grasse après avoir gagné la médaille de bronze au relais 4 x 100 m aux Jeux olympiques de Rio en août 2016. Brendon a couru avec ses élastiques orthodontiques en bouche! On voyait très clairement ses élastiques lors de l’entrevue télévisée après la course. Ça ne l’a même pas ralenti!