En raison de la pandémie de COVID-19, les dentistes et les orthodontistes ont dû prendre des mesures afin de limiter la propagation du virus dans leurs cliniques. Des protocoles ont donc été mis en place pour la sécurité de tous et de toutes. Cependant, le personnel des cliniques a aussi besoin de votre collaboration.
Nous vous demandons de vous renseigner sur les mesures à suivre lors de votre prochaine visite et de ne pas vous présenter si vous êtes atteint ou atteinte de la COVID-19, si vous avez des symptômes s’apparentant à la COVID-19 ou si vous avez été en contact avec une personne qui est ou pourrait être atteinte de la COVID-19.
Merci de votre compréhension et de votre coopération en ces temps difficiles.
L’équipe Bücco et ses membres dentistes et spécialistes
Exemple de traitement de malocclusion classe 1 (1)
Adolescente de 14 ans.
(A) Malocclusion dentaire de type classe 1 (classe I) avec manque d’espace modéré et les canines supérieures non fonctionnelles. L’arcade supérieure est légèrement étroite.
(B) Corrections orthodontiques sans extractions. La forme des arcades a été harmonisée et de l’espace a été créé pour loger les canines supérieures et les rendre fonctionnelles. Les contacts postérieurs verticaux s’ajusteront avec le temps et l’engrenage des dents s’améliorera. (Photos prises 2 semaines après la dépose des appareils correcteurs).
Cas 3 – Déficience maxillaire squelettique transverse et antéro-postérieure
Traitement de compromis en orthodontie pour une classe 3 squelettique adulte.
(A) Importante malocclusion “classe 3” causée un déséquilibre squelettique pour lequel la chirurgie n’était pas une option pour la patiente.
(A et B) Occlusion initiale. Les dents supérieures mordent complètement derrières celles du bas à l’avant ET à l’arrière. Un léger glissement antérieur de la mandibule exacerbe ce décalage.
(C) Mécanique utilisée au début des corrections; une plaque occlusale inférieure servait d’ancrage pour utiliser des élastiques et des appareils multi-bagues pour commencer à “élargir” le haut (expansion).
(D) Par la suite, la plaque inférieure fut retirée et les “broches” furent posées à l’arcade mandibulaire.
(E) Résultat final, la relation entre les dents est fonctionnelle mais constitue un compromis qui est une compensation dento-alvéolaire pour un déséquilibre squelettique important (camouflage orthodontique).
(F) Vue occlusale des arcades à la fin des corrections. Comparez le changement de forme et largeur avec la condition initiale (B).
Traitement de compromis pour les « classes III »
(A) Une “classe 3” peut aussi être causée par une déficience ou un recul du maxillaire supérieur, ce qui créé un décalage entre les incisives.
(B)Compensation; si le décalage n’est pas trop important entre les mâchoires, il peut être possible de “compenser” en basculant les incisives supérieures vers l’avant et en “reculant” celles du bas ou en les basculant vers l’intérieur.
(C) Cependant, si le décalage est trop important entre les mâchoires, une telle compensation est impossible et seule une chirurgie orthognathique pourrait rétablir l’équilibre entre les mâchoires décalées. Une telle situation peut être causée par un recul de la mâchoire supérieure et une mandibule trop avancée (prognathie mandibulaire). La combinaison de ces deux déséquilibres accentue le décalage et rend impossible une compensation dento-alvéolaire adéquate.
Cas 2 – Correction des incisives supérieures pour minimiser l’usure excessive des dents antérieurs
Traitement de compromis en orthodontie chez un adulte (56 ans) ayant de l’usure dentaire excessive. Voir ci-dessous pour une description détaillée de ce cas. Durée du traitement: 7 mois
(A et B) Occlusion initiale où l’on peut voir les incisives supérieures qui surplombent excessivement celles du bas et qui sont basculées vers l’arrière. La flèche indique une fistule qui draine un abcès à l’apex de la latérale droite. Le fait que cette dent soit endommagée par l’usure et qu’elle subisse des forces constantes plus fortes à cause de sa malposition ont pu contribuer à la nécrose du nerf de la dent ayant causé l’abcès dentaire. Cette dent nécessitera un traitement de canal.
(C) Vue en plongée du surplomb vertical et de la proximité des dents des deux arcades.
(D) Une vue rapprochée révèle l’usure excessive des dents. Les zones plus foncées sont la dentine de la dent qui est devenue visible après que l’émail qui la recouvre ait complètement disparu (usé).
(E) Les incisives inférieures centrales sont tellement usées qu’on peut y voir le canal pulpaire (où est le nerf de la dent) plus foncé et indiqué par les flèches. Ces dents ne sont toutefois pas douloureuses car le canal se “momifie” en fabricant de la dentine qui obstrue progressivement le canal à mesure que progresse l’usure.
(F) Vue de face, bouche ouverte; l’usure des incisives inférieures est évidente.
(G) Début du traitement avec les appareils multi-bagues fixes sur les dents supérieures.
(H) Bien que l’arcade inférieure ait plusieurs irrégularités et malpositions dentaires, elle ne fut pas traitée.
(I) Fin des corrections; les incisives supérieures ont été inclinées vers l’avant pour les “dégager” des dents inférieures et diminuer les risque d’usure future (sans toutefois le “garantir”). Elles ont aussi été légèrement “remontées” verticalement (comparez A et I). La durée du traitement fut de 7 mois.
(J) Une attelle de rétention fixe a été posée sur la surface interne des incisives.
(K) À cause qu’il persiste un certain surplomb vertical et que ce patient “bruxe” ou serre les dents la nuit, nous lui avons prescrit un plan articulé amovible à porter la nuit qui empêchera tout contact entre les dents pendant les mouvements de parafonction (grincement) et préviendra
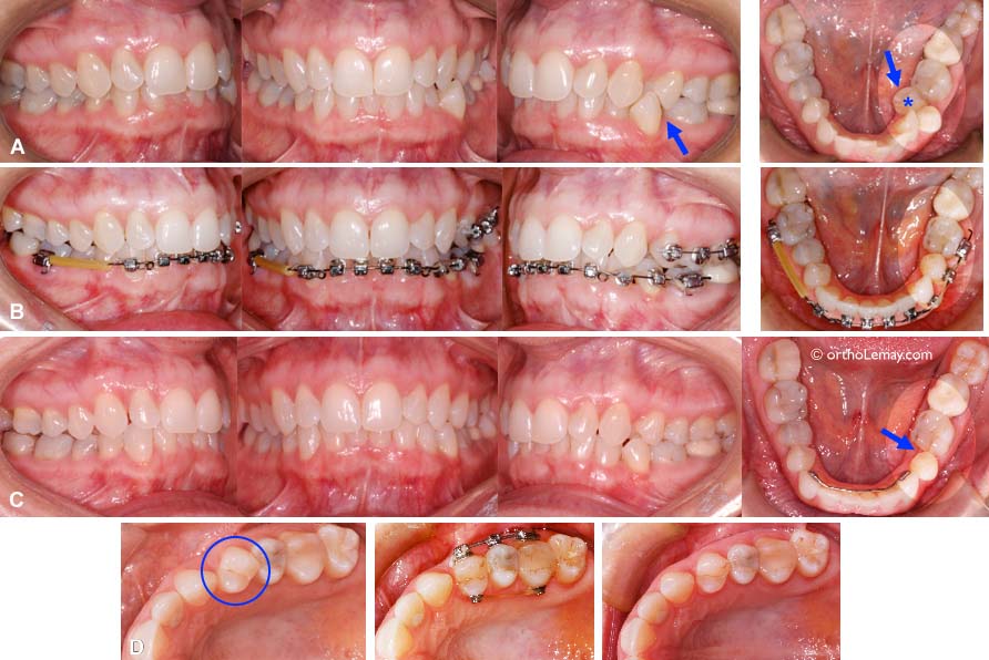
Cas 1 – Corrections inférieures pour éliminer une dent endommagée et condamnée à l’extraction
(A) Occlusion avant le traitement ; Il y a du chevauchement sévère à l’arcade inférieure gauche causant une occlusion croisée et un endroit difficile à nettoyer pour la patiente (flèches). Le but du traitement était de corriger l’alignement inférieur gauche. Afin d’obtenir l’espace nécessaire, une prémolaire cariée a été extraite (* bleu) et des appareils multi-bagues furent posés au bas et sur quelques dents postérieures afin de corriger la rotation de la première prémolaire qui nuisait à la correction de la prémolaire inférieure (B et D).
(C) À la fin du traitement (durée de 8 mois) l’espace est fermé, les dents sont alignées et la nourriture ne reste plus emprisonnée. Les autres aspects de l’occlusion ont été modifiés le moins possible.
Résultats (3)
(G) Dentition normale sans aucune dent manquante.
(H) Dentition normale sans aucune dent manquante.
(I) Couronne implanto-portée remplaçant la latérale supérieure droite manquante.
Résultats (2)
(D) Couronnes implanto-portées remplaçant les 2 incisives latérales supérieures.
(E) Couronne sur implant dentaire remplaçant la latérale supérieure gauche. La latérale supérieure droite est une dent naturelle.
(F) Fermeture bilatérale des espaces des incisives latérales par substitution des canines. Les canines ont eu une améloplastie, du blanchiment et une modification par composite dentaire.
Résultats (1)
(A) Dentition normale sans aucune dent manquante.
(B)Fermeture d’espace avec substitution d’une canine pour remplacer la latérale supérieur droite manquante. La première prémolaire supérieure gauche fut extraite pour compenser du côté opposé. La forme de la canine droite fut modifiée par améloplastie et ajout de composite dentaire.
(C) Fermeture d’espace avec substitution bilatérale des canines pour des latérales manquantes. Les canines maxillaires ont eu une améloplastie, du blanchiment et ont été reformées avec du composite dentaire.
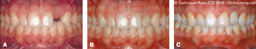
Illustration 2
Exemple de substitution des canines pour des incisives latérales manquantes
(A) Adolescente ayant une incisive latérale supérieure droite manquante (anodontie) et l’incisive latérale gauche étroite et difforme.
(B) Après le traitement d’orthodontie ayant rapproché la canine droite contre l’incisive centrale et l’ayant modifiée par meulage sélectif (améloplastie), une facette de porcelaine fut placée sur la latérale gauche difforme.
(C) 19 ans plus tard, il n’y a aucun signe d’infraclusion, la gencive est intacte et de couleur et formes normales et les papilles gingivales sont intactes (Zachrisson et Rosa, 2010).
Illustration 1
Exemple de changements possibles avec le temps affectant une couronne temporaire
(A) Femme de 20 ans chez qui l’espace de la latérale supérieure gauche manquante a été ouvert pour y poser un implant dentaire.
(B) Couronne temporaire en place.
(C) Après seulement 5 ans, une infraclusion est déjà visible sur la couronne implanto-portée à cause de l’éruption continue des dents adjacentes, rendant le contour gingival inesthétique (Zachrisson et Rosa, 2010).