Exemple de cas cliniques en orthodontie

Exemple de cas cliniques en orthodontie

canines fonctionnelles 2

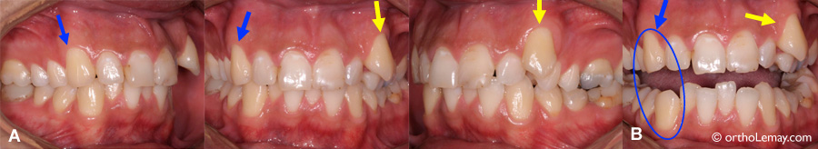
Ce jeune homme de 24 ans présente une situation où l’on peut comparer le rôle fonctionnel de la canine des deux côtés opposés. (A) La canine supérieure droite (flèche bleue) touche à la canine opposée et est fonctionnelle pendant les mouvements mandibulaires vers la droite. Elle commence déjà à montrer des signes d’usure; la pointe est rendue droite. Du côté opposé, la canine qui manque d’espace est hors de l’arcade (flèche jaune) et, par conséquent, elle n’est pas fonctionnelle, n’a aucun signe d’usure et le bout est encore très pointu tout comme au moment où cette dent est sortie. (B) Lorsque la bouche est ouverte, on peut mieux apprécier la différence entre la pointe des deux canines et constater que les canines de droite présentent déjà une usure significative pour un jeune adulte (cercle). Les canines de gauche étant moins fonctionnelles, ce sont les incisives qui doivent donc guider la mâchoire pour certains mouvements et ceci contribue à l’usure de leurs bords incisifs. (Homme – 24 ans)

canines fonctionelles

Exemple d’usure “fonctionnelle” chez une fille de 14 ans; (A) Les canines supérieures sont hautes et ne peuvent jouer leur rôle de protecteur pendant les mouvements de la mâchoire. (B) Lorsque la mandibule se déplace vers la droite (photos du haut) ou vers la gauche, les dents latérales entrent en contact et commencent à s’user. (C) En fin de mouvement, l’usure est visible sur le bout des incisives latérales qui sont déjà raccourcies. (Fille – 14 ans)

cas 5

(A) Canine inclinée vers la latérale (pointillé). Les temporaires (*) seront extraites. (B) Un peu plus d’un an après les extractions, la canine permanente montre une amélioration significative dans sa direction d’éruption.

Cas 3 : Plus la situation perdure, plus il y a des chances d’avoir de l’usure!

(A) Canine supérieure droite incluse au palais. (B) Radiographie montrant la canine incluse. (C) Fonction de la mâchoire du côté droit; usure des incisives latérales. (D) Surplomb vertical excessif. (Femme – 34 ans).

Plus la situation perdure, plus il y a des chances d’avoir de l’usure!

  • (A et B) Comme les cas précédents, cette femme de 34 ans a une canine incluse du côté du palais. Malgré un espace important, ce n’est pas suffisant pour permettre à la canine de se loger dans l’arcade dentaire par elle-même.
  • En fonction, lorsque la mandibule se déplace vers la droite, ce sont les incisives latérales qui se touchent au lieu des canines. Ceci cause de l’usure prématurée des incisives latérales (le degré peut varier d’une personne à l’autre selon la force utilisée pendant la fonction).
  • Pour en savoir plus sur la prédiction et l’interception des canines incluses et sur l’usure dentaire.

cas 2

Femme de 26 ans avec une bonne occlusion, sauf pour une canine incluse qui a causé des dommages à l’os et à une dent adjacente. Voir les explications ci-dessous. (Femme – 26 ans)  

Cet autre exemple pourrait démontrer ce qui peut arriver au cas précédent s’il était laissé sans supervision pendant plusieurs années.

  • (A) Une femme de 26 ans a une condition similaire au cas 1 ci-haut; elle présente une canine supérieure droite complètement formée, mais sévèrement incluse du côté du palais (B-3).
  • Cette condition, qui est en progression depuis au moins 15 ans, aurait possiblement pu être évitée avec une supervision adéquate pendant l’éruption des dents (prise de radiographies et extractions sélectives).
  • Le fait d’avoir gardé la canine incluse pendant toutes ces années a eu plusieurs conséquences dommageables pour l’environnement de cette dent :
    • Avec les années, la canine temporaire est tombée lorsque la canine permanente incluse a progressivement usé sa racine. Il en résulte un espace important et inesthétique où était la canine temporaire (* jaune).
    • (B) La canine incluse a résorbé (usé) plus de 40% de la racine de l’incisive permanente latérale supérieure droite. La flèche et la ligne rouges indiquent le bout de la racine usée. La santé et survie de cette incisive latérale sont maintenant incertaines à long terme.
    • Un défaut osseux très important (perte d’os visible en foncé sur la radiographie) s’est développé dans la région de la canine droite (* rouge) de sorte qu’une tentative de loger la canine dans l’arcade peut nécessiter une chirurgie pour ajouter de l’os ou être vouée à l’échec.
    • En comparaison, la canine gauche est descendue normalement par elle-même (flèche bleue).
  • Pour en savoir plus sur la prédiction et l’interception des canines incluses.
 

Éruption des dents 15 ans

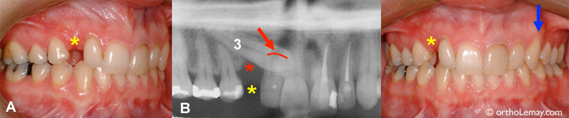
Cas 1 : Cette jeune fille de 15 ans aurait une occlusion très acceptable si ce n’était de la présence d’une canine supérieure droite qui est incluse au palais.

(A) L’occlusion générale est excellente, mais on remarque la présence d’une canine temporaire supérieure droite (*).

(B) La radiographie révèle la présence de la canine incluse qui est en fort mauvaise position (flèche rouge). Ce problème aurait pu être évité ou minimisé. La flèche bleue indique la canine du côté opposé qui est sortie normalement. (Fille – 15 ans)

  • Ce problème était certainement visible sur une radiographie panoramique dès l’âge de 8-9 ans et aurait pu être évité ou du moins minimisé avec une supervision adéquate pendant l’éruption des dents et le développement dentaire.
  • La canine temporaire aurait dû être extraite il y a plusieurs années pour créer de l’espace et guider la canine permanente vers l’arcade dentaire. Le fait d’avoir gardé la dent temporaire aussi longtemps a contribué à diriger la canine permanente vers le palais.
  • À noter que la canine temporaire a déjà été problématique puisqu’un traitement de canal a été effectué sur cette dent (zone blanche visible dans la racine de la dent sur la radiographie). Le dentiste a fait cette procédure pour préserver la dent temporaire quand il aurait été préférable de simplement l’extraire et ainsi tenter d’influencer la direction de la canine permanente. En comparaison, la canine du côté opposé (flèche bleue) est sortie normalement.
  • Bien qu’une seule dent soit principalement affectée, l’intervention pour dégager et loger la canine incluse dans l’arcade dentaire est complexe, longue et coûteuse pour cette patiente. Une bonne supervision aurait été plus simple et aurait probablement diminué la nécessité d’avoir recours à des corrections orthodontiques pendant l’adolescence.

esthétique

(A) Au début de la traction, les anneaux de la chaînette sont visibles hors de la gencive. (B et C) Une fois la canine rendue près de la surface, la chaînette est coupée et un fil ou autre mode de traction peut être engagé directement dans l’attache collée sur la surface de la canine. (D et E) Malgré une chaînette assez longue (visible sur une radiographie), ce qui paraît en bouche est très minime et pratiquement invisible.

Esthétique

(A) La radiographie permet d’apprécier la longueur de la chaînette de traction enfouie dans la muqueuse du palais. (B) Une petite partie de la chaînette sort de la gencive pour s’attacher au fil de l’arcade. (C et D) Des dents artificielles fixées sur des brackets attachés au fil camouflent l’espace où seront les canines ainsi que la chaînette.

Canines supérieures incluses fille de 13 ans

Canines supérieures incluses au palais chez une fille de 13 ans. Extraction des canines temporaires et traction orthodontique.

  • (A) Une radiographie du palais montre la position anormale des canines (* bleu). Les canines temporaires sont toujours en place (* rouge) et ont probablement contribué à l’inclusion des canines pendant leur développement.
  • (B) La muqueuse du palais présente de légères bosses qui laissent deviner la présence des canines du côté du palais. Ceci est une bonne indication de la position des canines avant même de prendre des radiographies.
  • (C) La radiographie panoramique montre à quel point les 2 canines sont aussi inclinées vers le centre et sont derrières les racines des incisives latérales.
  • (D) Les canines temporaires ont été extraites. Les boîtiers ont été posés pour aligner les dents et ouvrir l’espace nécessaire pour loger les canines. Des attaches de traction et chaînettes ont été collées sur les canines incluses. La traction est débutée et les canines commencent à se redresser à mesure qu’elles se dirigent vers l’arcade dentaire.
  • (E) En bouche, tout ce qui est visible est le bout des chaînettes (flèches) dans lesquelles passe un fil flexible qui exerce une légère force de traction. À mesure que la canine descend, la chaînette sort de la gencive et sera progressivement coupée jusqu’à ce que la canine perce. À ce moment, une attache régulière (boîtier) sera collée pour compléter le déplacement des canines. Cela peut prendre de quelques mois à plus d’une année pour descendre des canines incluses jusqu’à leur position finale.

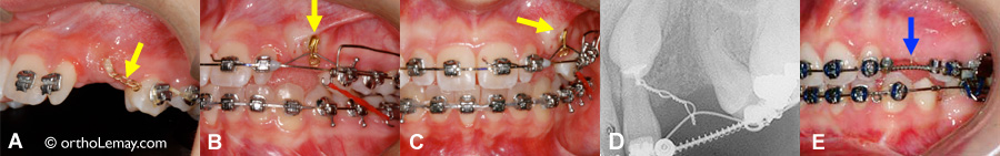
Traction orthodontique d’une canine incluse

Traction orthodontique d’une canine incluse. (A) La canine temporaire toujours présente doit être extraite (*). (B) La canine incluse du côté du palais (en rouge) doit être dégagée et une attache de traction est collée sur la dent. Une chaînette ou ligature relie l’attache au fil orthodontique. (C) Un élastique tire la chaînette pour diriger la canine vers l’arcade dentaire. (D) Lorsque la canine est assez descendue, la chaînette et l’attache peuvent être enlevées. (E) Un boîtier régulier peut maintenant être placé sur la dent pour terminer la correction. (F) Résultat final avec la canine en position normale dans l’arcade dentaire. (ill. : AAO 1993)
Mise à jour pour