En raison de la pandémie de COVID-19, les dentistes et les orthodontistes ont dû prendre des mesures afin de limiter la propagation du virus dans leurs cliniques. Des protocoles ont donc été mis en place pour la sécurité de tous et de toutes. Cependant, le personnel des cliniques a aussi besoin de votre collaboration.
Nous vous demandons de vous renseigner sur les mesures à suivre lors de votre prochaine visite et de ne pas vous présenter si vous êtes atteint ou atteinte de la COVID-19, si vous avez des symptômes s’apparentant à la COVID-19 ou si vous avez été en contact avec une personne qui est ou pourrait être atteinte de la COVID-19.
Merci de votre compréhension et de votre coopération en ces temps difficiles.
L’équipe Bücco et ses membres dentistes et spécialistes
d’autres exemples de traitements à l’aide de plaques articulaires-5
(A) Jeune homme de 28 ans se plaignant de maux de tête et de migraines. Il présente une occlusion relativement bonne mais les incisives supérieures et inférieures présentent un surplomb excessif (overbite), (B) Le port d’une plaque occlusale pendant plusieurs mois a permis de soulager les symptômes. (C) Après le port de la plaque, l’occlusion révèle une toute autre relation que l’occlusion initiale. Il n’y a qu’un seul contact entre les dents antérieures (flèche) et pas de contacts postérieurs. Pendant la fonction, le patient doit donc forcer pour que les dents postérieures entrent en contact, ce qui pouvait contribuer à l’apparition de symptômes articulaires ou autres. (D) La phase orthodontique corrective permit d’optimiser la position des dents tout en gardant la position de mâchoire confortable qui fut obtenue par le port de la plaque occlusale. (E) Occlusion finale; le surplomb vertical est diminué et l’inclinaison des dents antérieures a été modifié.
Traitements à l’aide de plaques occlusales
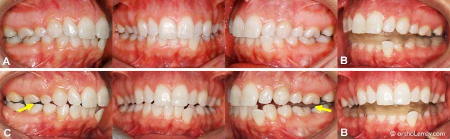
(A) Jeune femme de 26 ans se plaignant de douleurs articulaires (ATMs), céphalées et migraines depuis plusieurs années. Elle présente une malocclusion avec un engrenage inadéquat du côté droit et du chevauchement dentaire modéré.
(B) 3 semaines après le port d’une plaque occlusale inférieure les céphalées ont diminuées significativement. L’épaisseur de la plaque a été augmentée pour combler l’espace qui apparaissait progressivement entre les dents à mesure que la mandibule se repositionne vers le bas et l’arrière.
(C) Après 5 semaines, les symptômes sont pratiquement tous disparus mais, lorsque la plaque est enlevée (pour les photos), on remarque le changement important qui s’est produit; la mandibule s’est déplacée et il ne reste que des contacts entre les molaires. Une phase corrective en orthodontie (broches) sera nécessaire pour obtenir une occlusion permettant de maintenir la position mandibulaire révélée par la plaque et et une fonction adéquate.
Traitements à l’aide de plaques articulaires
Femme de 42 ans se plaignant de douleurs articulaires, maux de tête et migraines occasionnelles, difficulté à ouvrir la bouche et mastiquer. Elle a déjà été traitée en orthodontie 20 ans auparavant net aussi eu une chirurgie orthognathique pour avancer la mandibule trop reculée.
(B) Une première phase de traitement à l’aide d’une plaque articulaire avait pour but de tenter de “déprogrammer” la mandibule et soulager la patiente.
(C) Après plusieurs mois, la majorité des symptômes ont disparus, l’occlusion est maintenant stable mais on remarque une position mandibulaire altérée avec une béance postérieure gauche et une absence de contacts stables entre les dents du coté droit. La phase corrective orthodontique vise à corriger les malpositions dentaires tout en préservant cette position de la mandibule qui est confortable
Autres exemples de traitements à l’aide de plaques articulaires (2)
Femme de 33 ans avec symptômes aux ATMs.
(A) Occlusion initiale; les dents se touchent à l’avant et à l’arrière.
(B) Quelques semaines après le port d’une plaque articulaire, une béance est apparue entre les dents. Seules quelques dents se touchent à l’arrière. Les symptômes se sont améliorés significativement.
Traitements à l’aide de plaques articulaires
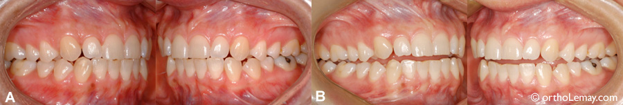
Femme de 24 ans se plaignant de divers symptômes aux ATMs.
(A) Occlusion lors de l’examen initial. Il semble alors exister un bon engrenage entre les dents postérieures.
(B) Avec la plaque articulaire en bouche, les symptômes ont diminué significativement.
(C) Lorsque la plaque est enlevée, on remaque le changement “subtil” dans la position de la mandibule qui s’est replacée dans une position plus confortable vers l’avant. Dans cette nouvelle position, les dents ont très peu de contacts entre les deux arcades et il y a un moins bon engrenage postérieur. C’est cette occlusion qui devra être corrigée en orthodontie.
Imagerie des articulations temporo-mandibulaires (suite)
Les scans volumiques tri-dimensionnels permettent d’obtenir des images qui peuvent être reconstituées en modèle virtuel (A) ou découpées pour voir toutes les dimensions des articulations sous tous les angles possibles (B et C). Nous avons une telle machine radiologique permettant d’obtenir cette information en quelques minutes.
Déplacement du disque (luxation) sans réduction
Ouverture SANS réduction (capture) du disque articulaire.
Déplacement du disque avec réduction; luxation et subluxation articulaire
Ouverture AVEC réduction (capture) du disque articulaire.
Fonction normale de l’articulation temporo-mandibulaire
Pendant la fonction normale, le disque articulaire demeure sur la tête du condyle et l’accompagne dans tous les mouvements.
La radiographie tomographique “conventionnelle” permet d’évaluer la fonction des articulations
La radiographie tomographique “conventionnelle” permet d’évaluer la fonction des articulations. (A et B) Condyles de la mandibule lorsque la bouche est fermée. (A’ et B’) Lorsque la bouche est ouverte, on peut évaluer le déplacement des condyles vers l’avant (flèches). Il n’est cependant pas possible de visualiser les tissus mous sur une telle radiographie.